门诊首页 门诊概况 新闻动态 重点专科 治疗特色 典型案例 精彩专题
所在位置:网站首页 > 新闻动态 > 门诊新闻正文内容

呼吸道疾病 介绍

 

缔造了一支在哮喘疾病医学领域里享有盛誉的专家团队,具有高超的医术和丰富的经验,开拓出中西结合,再加高科技设备的诊疗方法,为哮喘疾病患者带来福音,中西药的结合,高效率的缓解哮喘疾病的症状,另外我门诊的重点就是先进高科技的治疗设备,迷走神经阻断疗法,排痰迅速,见效快,不复发。

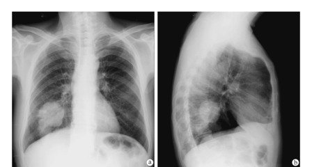
 肺大疱一般继发于小支气管的炎性病变,如肺炎、肺结核或肺气肿。临床上常与肺气肿并存。因小支气管发生眼性病变后引起水中、狭窄,造成管腔部分阻塞,产生活门作用,使空气能进入肺泡而不易排除,致使肺泡内压力升高。炎症使肺组织损坏,肺泡间隔逐渐因泡内压力升高而破裂,肺泡互相融合形成大的含气囊腔。如果肺泡破裂后空气进入脏胸膜下间隙,则形成胸膜下大疱。肺大疱有单发也有多发。继发于肺炎或肺结核者常为单发或只有数个大疱,亦无明显肺气肿同时存在;继发于肺气肿者常为多发,表现为几个大疱伴有多个小疱,大疱周围的肺实质常伴有阻塞性肺部病变和肺气肿。肺大疱以位于肺尖部及肺上叶边缘多见。疱壁很薄,大小不一,数目不定。既可表现为宽基地座,亦可表现为狭颈体大的大疱。显微镜下可见疱壁为肺泡扁平上皮细胞,有时可仅有纤维膜或纤维结缔组织存在。

肺大疱的症

病人的症状主要与大疱的数目、大小以及是否伴有慢性弥漫性阻塞性肺部疾病密切相关。较小的、数目小的单纯肺大疱可无任何症状,有时只是在x线检查时或因其他疾病作剖胸术时偶被发现。体积大或多发性肺大疱可有胸闷、气短等症状。当肺大疱病人突然发生气急、咳嗽、呼吸困难、或有与心绞痛相似的胸痛;体格检查有发绀,气管向健侧移位,患侧叩诊呈鼓音,听诊呼吸音消失时,应疑有大疱破裂并形成自发性气胸。肺大疱继发感染少见,亦很少并发咯血,主要并发症是自发性气胸或血气胸。

 

肺大疱的并发症

 

 自发性气胸是肺大疱最常见的并发症,其次是感染和自发性血气胸。

1.自发性气胸肺大疱可以没有任何症状。2.张力性气胸。3.自发性血胸肺大疱引起的自发性血胸,多数由肺尖部的大疱或大疱

自发性气胸是肺大疱最常见的并发症,其次是感染和自发性血气胸。


1.自发性气胸肺大疱可以没有任何症状。在突然用力,如剧烈咳嗽、提重物或体育运动时压力突然增加,肺大疱破裂,气体自肺内进入胸膜腔,形成自发性气胸时,可能出现呼吸困难,气急、心慌,脉搏加快等,气胸使胸膜腔负压消失,气体压缩肺组织使其向肺门部萎陷,萎陷的程度取决于进入胸腔的气体的多少,以及肺及胸膜原有病变的病理情况,进入胸腔的气体量大,肺组织原有病变轻,顺应性尚好的,肺萎陷较多,有时可达到一侧胸腔的90%,气体迅速进入胸腔,肺组织急速萎缩,则症状严重,甚至有发绀。如果患者除肺大疱以外,尚合并有肺气肿、肺纤维化、肺组织长期慢性感染等病变,肺大疱破裂时虽然有一部分气体进入胸腔,而肺组织萎陷程度可以较轻,但因为患者原有肺功能已减退,症状也较重。X线可见被压缩的肺形成的气胸线,如果有粘连存在,则气胸线不规则。肺大疱破裂后,其中一小部分裂口较小,肺组织萎缩后裂口自行闭合,漏气停止,胸腔积气逐渐吸收,胸腔负压恢复,肺复张痊愈。



2.张力性气胸若肺大疱破裂后形成活瓣,吸气时胸腔负压增高,气体进入胸腔,呼气时活瓣关闭,气体不能排出,尤其是咳嗽时,声门关闭气道压力增高,气体进入胸腔,声门开放后,气道压力减低,裂口又闭合,每一次呼吸和咳嗽都使胸腔内气体量增加,就形成张力性气胸。张力性气胸时患侧肺组织完全萎缩,纵隔被推向健侧,在健侧肺组织亦被压缩的同时心脏大血管移位,大静脉扭曲变形,影响血液回流,造成呼吸循环严重障碍,患者可出现呼吸困难、脉快、血压下降,甚至窒息、休克。患侧胸廓隆起,多伴有患侧皮下气肿,气管明显向健侧移位,病情危重,常需要急诊处理。



3.自发性血胸肺大疱引起的自发性血胸,多数由肺尖部的大疱或大疱周围的肺组织与胸顶粘连及粘连撕裂活动出血。粘连带中的小动脉直径可达0.2cm,血管起源于体循环,压力较高,同时胸腔内是负压,更增加了出血的倾向。另外,由于肺、心脏、膈肌运动的去纤维化作用,胸腔内的血液不凝固,因此出血很难自动停止。临床症状可因出血的快慢而不同,出血缓慢时,患者可表现为逐渐加重的胸闷,呼吸困难,X线可见膈角变钝,或胸腔积液的抛物线影像。出血迅速时,短期内可以有休克表现。



4.自发性血气胸肺大疱及周围肺组织与胸壁的粘连被撕裂时,如果粘连带中有血管破裂,同时肺组织也被损伤,就形成自发性血气胸。



近年来,一些学者指出膈肌活动幅度可能在自发性血气胸的发生中起决定性的作用,在摒气、用力等剧烈活动时,膈肌活动幅度增大,对胸顶的粘连索带产生骤然直接或间接的拉力,由于肺组织较胸膜疏松,故易在肺侧撕裂造成既出血又漏气的血气胸。若撕脱在索带的壁侧或中央段,则仅出现血胸。瘦长型青年膈肌活动幅度较大,并因体瘦胸肌多不发达,更依赖腹式呼吸,但中年以后腹腔内脂肪积累逐渐增多,在不同程度上限制了膈肌活动,故即使存在上述病理改变,也很少发病。女性以胸式呼吸为主,发病率较低。右肺为三叶,其叶间隙对猛然的向下牵拉起一定的缓冲作用,且右肺下尚有肝脏,可能是右侧发病较少的原因。因此,自发性血气胸患者有年龄轻、男性多于女性、左侧多于右侧、多为瘦长体型等特点。双侧自发性气胸也时有发生,多是左侧先发,右侧后发,个别情况下是双侧同时发生,病情危急,甚至有生命危险。



5.肺大疱继发感染多数情况下,肺大疱均发生在八级以上支气管远端,绝大多数是不感染的,但如果引流支气管堵塞,肺大疱支气管内充满炎性分泌物,患者可出现发热、咳嗽、咳痰等感染症状,有时经抗感染治疗后,临床症状好转,而胸片上感染的征象仍可持续较长一段时间。




点击次数:2738次 发布时间:2013-6-26 【打印此页】【关闭

下一篇文章:你感觉到高血压的信号吗?

重庆冉明诊所 地址:黔江区解放路118号 电话:13896800113 传真: 023-79230708 手机:13228589488 邮编;409000 网址: www.rmmz120.com E-mail:1034939929@qq.com