
什么是蛛网膜下腔出血?
蛛网膜下腔出血(subarachnoid hemorrhage,SAH)是出血性脑血管病的一个类型,分原发性和继发性两种。原发性蛛网膜下腔出血是由于脑表面和脑底的血管破裂出血,血液直接流入蛛网膜下腔所致。又称自发性SAH。脑实质或脑室出血、外伤性硬膜下或硬膜外出血流入蛛网膜下腔为继发性SAH。
蛛网膜下腔出血是神经科最常见的急症之一,发病率占急性脑血管病的6%~10%。
蛛网膜下腔出血有哪些症状
向您详细介绍蛛网膜下腔出血症状,尤其是蛛网膜下腔出血的早期症状,蛛网膜下腔出血有什么表现?得蛛网膜下腔出血会怎么样?
典型症状
- 脑膜刺激症状
脑膜刺激征是脑膜病变所引起的一系列症状,包括颈强直、Kernig征、Brud... [详细]
- 面色苍白
苍白脸色是由于脸部毛细血管充盈不足而引起的,中医认为这是体质差的表... [详细]
- 冷汗
- 定位神经体征
- 眼睑下垂
- 眼球不能随意动
- 偏瘫
- 癫痫和癫痫样发作
- 脑室出血
- 头痛
- 中枢性发热
- 发烧
临床表现
1.急性期表现 各年龄组均有发病,30~40岁青壮年多见,也有的报道80%的发病年龄在30~69岁。男性稍多于女性,秋季及冬初发病率较高。发病时多有情绪激动或用力病史,部分患者可有反复发作头痛史。发病时,90%患者为突然起病,少数起病缓慢。
主要的临床表现是在情绪激动、体力劳动、咳嗽、用力排便、饮酒、性交等情况下发病,主要表现是突发剧烈头痛、呕吐、意识障碍,检查有脑膜刺激征阳性,脑CT扫描有出血表现,腰穿有均匀一致血性脑脊液。症状的轻重取决于病变的部位、出血量的多少,并且与发病年龄有关。
(1)前驱期症状:少数患者发病前2周内有头痛、头晕、视力改变或颈项强直,这些表现可能是蛛网膜下腔出血的前驱症状。其产生与动脉瘤扩大压迫刺激邻近组织,或动脉瘤微量出血有关。一般年轻人比老人更多见,常被临床误诊为偏头痛或颈椎病。从前驱症状到发生大出血的间隔期约2~3周,约半数前驱症状是由反复的小量渗血引起,外渗的血液可以围绕血管壁或瘤壁引起一些纤维化的粘连反应,起到止血作用。
(2)头痛与呕吐:是本病常见而重要的症状,患者从突然剧烈难以忍受的头痛开始,常伴有呕吐、颜面苍白、全身冷汗。头痛分布于前额、后枕或整个头部,并可放射至枕后、颈部、肩部、背部、腰部及两腿等,并持续不易缓解或进行性加重,头痛持续时间一般1~2周,以后逐渐减轻或消失。少数患者仅表现头昏或眩晕而无头痛。开始头痛的部位有定位意义,如前头痛提示小脑幕上和大脑半球(单侧痛)、后头痛表示后颅窝病变。头痛的发生率各家报道不一,国内报告为68%~100%。中青年头痛严重,老年人蛛网膜下腔出血头痛的发生率低,这是因为老年人脑实质多有萎缩,蛛网膜下腔多有扩大,疼痛敏感组织如血管、神经、脑膜有不同程度的退化,感知与反应多较迟钝、疼痛阈增高。头痛重者伴有恶心及呕吐,多为喷射性呕吐,系颅内压增高的表现,少数患者呕吐咖啡样液体,提示应激性溃疡出血,预后不良。少数动脉瘤破裂导致大出血的病例,在剧烈头痛呕吐后随即昏迷,出现去皮质强直,甚至很快呼吸停止而猝死。
(3)意识及精神障碍:多数患者在发病后立即出现短暂性意识丧失,少数患者在起病数小时发生。意识障碍的程度和持续时间与出血部位及量、脑损害的程度有关。
老年患者意识障碍发生率高,文献报道50岁以上患者出现意识障碍占32%~63%,可能主要是由于老年人有脑动脉硬化,脑细胞功能减退,一旦颅内出血,颅内压增高时更易导致脑血管痉挛,脑组织缺氧水肿,容易引起脑功能障碍。
部分患者神志清醒,但有表情较淡漠、畏光、怕惊、谵妄、幻觉、妄想、躁动等精神症状,多由于大脑前动脉或前交通动脉附近的动脉瘤破裂出血所致,危重者可有谵妄,不同程度的意识不清甚至昏迷,少数可出现癫痫发作和精神症状。
(4)颈项强直及脑膜刺激征:是本病的主要阳性体征。颈项强直是由于支配颈肌群的颈丛神经受到血液的刺激引起颈部的伸屈肌群处于痉挛状态并伴有疼痛。而阳性的克氏征、布氏征则是由于相应支配的神经根受到血液的刺激所引起。脑膜刺激征下对于蛛网膜下腔出血有重要的诊断价值。起病数小时后出现,少数患者出现较晚。脑膜刺激征的强度取决于出血的多少、位置和年龄,表现为颈部肌肉(尤其是伸肌)发生痉挛、颈部僵直,或被动屈曲颈部时有阻抗,下颏不能贴近胸部。程度可有轻有重,严重时不能屈曲颈部,甚至呈角弓反张。据报道布氏征的发生率为66%~100%,克氏征出现率35%~60%,多在起病后3~4周消失。60岁以上的老年人,脑膜刺激征不明显,但意识障碍却较重,应引起注意。
(5)神经系统定位体征:神经系统定位体征分为两种,即早期定位体征和晚期定位体征。
①早期出现的神经系统症状:是指出血后短时间内出现的体征,常提示外侧裂中的大脑中动脉破裂,血液流入脑实质内。临床表现可有眼睑下垂、眼球运动障碍、轻偏瘫、四肢瘫,偏身感觉障碍等。肢体瘫痪是由于出血量较大或血肿压迫脑组织或血管痉挛甚至脑梗死所致。其体征出现在发病的初期,持续时间相对较短,随着病情的好转,瘫痪亦逐步好转。
②晚期出现神经系统定位体征:是指发生于出血3天以后,一般在4天~3周左右,最常见于出血后第5~10天之内,可持续2周左右,绝大多数于1个月内恢复正常,少数也有达数月之久,常提示为脑血管痉挛所致。
(6)眼底改变:蛛网膜下腔出血后可有在视盘周围、视网膜前的玻璃体下出血。可发生在一侧或两侧,从靠近中央静脉的视网膜和视网膜前间隙向他处扩散,外形可呈片状、条纹状、斑点状或火焰状。视网膜前出血后,紧接着可以发生玻璃体局限性或普遍性出血,引起视力模糊或黑矇。这些体征是诊断蛛网膜下腔出血的重要依据之一。这是由于血液从蛛网膜下腔向前扩散,充满了视神经鞘的蛛网膜下腔。因而使视网膜静脉回流受阻,此时供应视网膜的动脉血液并未减少,导致视网膜静脉及毛细血管发生破裂而出血。出血最早可在起病后1h内出现,数小时内产生,约2周内吸收。有20%的蛛网膜下腔出血患者由于颅内压增高,眼动脉回流受阻,可产生一侧或双侧视盘水肿、静脉充血,发生时间可在起病后几小时,一般在几天内,个别数周内,约3~4周才能消失。视盘水肿的程度通常在1~2天,偶尔可达3天,是颅内压增高的结果。颅内动脉瘤破裂引起的蛛网膜下腔出血,视网膜静脉常有淤血表现。
(7)癫痫发作:原发性蛛网膜下腔出血的继发癫痫发作发病率为9%~20%。蛛网膜下腔出血继发癫痫发作与其出血量、脑组织直接受损部位、程度和范围密切相关。可有多种表现形式的发作,如全身性强直-阵挛发作、复杂部分性运动发作、简单部分性运动发作。蛛网膜下腔出血继发癫痫常见全身性强直-阵挛发作,且多数为出血量较多,出血范围较大,血液遍及整个蛛网膜下腔,血液层厚,甚至部分脑室及基底池也有积血者,而复杂部分性运动发作和简单部分性运动发作则相对较少见,且出血量较少,出血范围亦较小。蛛网膜下腔出血继发癫痫发作多发生在发病早期,尤以发病当时最为常见,部分患者以癫痫为首发症状,且短期内(1~3天)频繁发作,过后则再无癫痫发作,而在蛛网膜下腔出血恢复期(2周后)癫痫发作者相对较少。
(8)脑神经障碍:脑神经障碍有定位体征。最常见的是动眼神经麻痹,颈内动脉与后交通动脉连接处的动脉瘤常伴有眼球运动障碍、视野缺损,头痛部位多限于眼球、眼眶或同侧前额;较大的动脉瘤更易引起头痛和动眼神经麻痹。其次面神经、视神经、听神经、三叉神经、展神经等。
(9)腰腿疼:可因脑或脊髓蛛网膜下腔出血血液流入椎管,刺激神经根所致。临床上所见蛛网膜下腔出血多数是脑蛛网膜下腔出血,而脊髓型蛛网膜下腔出血极少见,故临床医师常不容易考虑到该病。脊髓型蛛网膜下腔出血因早期未侵犯脑膜,无明显头痛,仅因血液刺激脊神经根,临床主要表现为腰背痛及下肢牵拉痛,行走困难。而“椎间盘突出”、“坐骨神经痛”亦可出现上述症状,故易误诊。
综上所述,蛛网膜下腔出血的临床表现差异很大,轻者症状、体征均不明显,且消失快,恢复完全。重者可有中枢性高热、迅速昏迷、出现去皮质强直,甚至死亡。
2.继发性表现 蛛网膜下腔出血经治疗后可完全恢复健康,一般不遗留神经系统后遗症,但部分患者可有再次出血、继发脑血管痉挛、急性脑积水或正常压力性脑积水等。
(1)再出血:再出血是蛛网膜下腔出血的主要死亡原因之一。
①发病率为11%~15.3%,再出血的发生时间,国内报道50%发生在2周内,81%发生在1个月内。
②临床表现:蛛网膜下腔出血经治疗病情稳定的情况下,突然剧烈头痛、烦躁不安、恶心呕吐或意识障碍及脑膜刺激征明显加重,或出现新症状和体征者常首先考虑为再出血。脑CT扫描在蛛网膜下腔或脑室内可见新鲜高密度影,腰穿脑脊液为新鲜血、红细胞增多或大量的红细胞。
③常见诱因有:头痛剧烈,影响休息以及焦虑不安、血压波动明显,或经治疗后头痛缓解,过早下床活动、咳嗽、打喷嚏等,使尚未修复好的血管破裂再出血;卧床休息,肠蠕动减少或不习惯床上排便而导致便秘,用力排便而致再出血;亲友探视过多或有使情绪激动的因素、血压骤增亦可致再出血。
(2)脑血管痉挛:脑血管痉挛是蛛网膜下腔出血最严重的并发症,常引起严重的局部脑组织缺血或迟发性缺血性脑损害,甚至导致脑梗死,成为致死和致残的主要原因。
关于蛛网膜下腔出血患者临床病情恶化的原因,有些作者报道认为颅内压增高不是惟一的主要原因,他们研究中发现,血压降至正常,但仍不能防止意识的进行性恶化,脑血管痉挛的患者中儿茶酚氨浓度增高,说明交感神经活性的亢进导致脑血管痉挛和临床情况的恶化。
①发生率:蛛网膜下腔出血后血管痉挛发生率高达30%~90%。有意识障碍的患者脑血管痉挛发生率更高。有报道动脉瘤破裂引起蛛网膜下腔出血的患者血管痉挛发生率为47%,而脑外伤引起的蛛网膜下腔出血发生率仅为6.4%。
②发生时间:多数学者认为脑血管痉挛具有两期:即急性血管痉挛和迟发性血管痉挛。
急性血管痉挛:在蛛网膜下腔出血后立即出现,持续时间短,多在24h内缓解,国外学者动物实验证明当向动物颈部蛛网膜下腔注入新鲜血液时,即出现Willis动脉环及其分支的急性双侧弥漫性血管痉挛。3min内痉挛最为明显,多数持续在30min以内,少数可达数小时之久。并且第2次出血所引起的脑血管痉挛,常常比第1次更强烈而持久。
迟发性血管痉挛:多在蛛网膜下腔出血3天后发生,最常见于出血后第5~10天,一般在4天~3周,可持续2周左右,绝大多数于1个月内血管管径恢复正常,少数也有达数月之久。
③发生部位:蛛网膜下腔出血后之脑血管痉挛可发生于颅内动脉的各个部位,但以Willis环动脉及其分支最为常见。过去认为脑血管痉挛主要发生于颈内动脉系统,随着MRA、DSA的广泛应用,发现椎-基底动脉的脑血管痉挛也不少见。血管痉挛范围与动脉瘤部位有密切关系。常见的动脉瘤部位有前交通动脉瘤、颈内动脉瘤、大脑中动脉瘤、大脑前动脉瘤、椎-基底动脉瘤、多发性动脉瘤等。
④临床表现:脑血管痉挛致脑缺血梗死的临床表现主要有:蛛网膜下腔出血症状经治疗或休息好转后出现恶化或进行性加重;意识障碍与脑血管痉挛关系密切,意识障碍逐渐加重或为昏迷→清醒→再昏迷的病程;出现偏瘫、偏身感觉障碍、失语等神经系统定位体征;出现头痛加重等颅内压升高症状;腰穿证实无新鲜出血;脑CT扫描没有发现新鲜出血高密度影。多数患者表现病情发展缓慢,经数小时或数天逐渐出现较重神经障碍体征,可伴或不伴有意识变化,极少数患者亦可急性起病,迅速发展。
(3)脑积水:蛛网膜下腔出血后继发脑积水发生率在20%左右。根据蛛网膜下腔出血后脑积水发生的时间可分为急性和慢性。急性脑积水是指在蛛网膜下腔出血的2周内发生,较常见;慢性脑积水则指蛛网膜下腔出血的2周以后形成。有时甚至在半年后出现。正常颅压脑积水是其中的一种类型。按脑积水的类型可分为梗阻性脑积水和交通性脑积水,两者均可见于急性脑积水,而慢性脑积水则多为交通性脑积水。
诊断
1.蛛网膜下腔出血的诊断 突发剧烈头痛伴呕吐、颈项强直等脑膜刺激征,伴或不伴意识模糊、反应迟钝,检查无局灶性神经体征,可高度提示蛛网膜下腔出血。如CT证实脑池和蛛网膜下腔高密度出血征象,腰穿压力明显增高和血性脑脊液,眼底检查玻璃体下片块状出血等可临床确诊。
老年人蛛网膜下腔出血临床症状可不典型,可始终无明显的脑膜刺激征或发病数天后才出现。头痛不明显,但意识障碍较突出,临床易误诊。轻型的蛛网膜下腔出血约有1/4的患者有不同程度的精神症状,可能以癔症、精神症状为主要表现形式,应予注意。
2.病因诊断 脑CT扫描、MRI及DSA是确诊本病病因的重要依据。
(1)颅内动脉瘤:蛛网膜下腔出血半数以上是由于颅内动脉瘤引起。好发部位为脑底动脉环及分支的起始部位,其中前交通动脉及大脑前动脉动脉瘤发病率最高。临床表现为:①动眼神经麻痹。②海绵窦或眶上裂综合征 (即有一侧第Ⅲ、Ⅳ、Ⅵ脑神经及第Ⅴ脑神经第1支损害)。③明显的视野缺损。DSA能明确诊断,较大的动脉瘤MRA也能诊断。
(2)高血压脑动脉硬化:多见于老年人,起病缓慢,头痛、呕吐和脑膜刺激征可不明显,意识障碍和精神症状明显。CT表现呈广泛性、对称性的脑室、脑池、脑裂内积血,而且出血量大。
(3)动静脉畸形:70%~80%动静脉畸形容易发生蛛网膜下腔出血,病变大多位于皮质,其中颞叶大脑外侧裂多见,按大脑中动脉分布,出血前常有头痛、癫痫样发作,颅内压增高及颅内血管杂音等。出血灶密度不均,畸形血管团伴有钙化者,表现为线状、环状、斑片状钙化。
(4)脑肿瘤:脑部肿瘤破坏血管也可致血性脑脊液,但在出血前先有脑受损的局灶性症状和体征及颅内压增高的表现。脑强化CT扫描或脑MRI检查能明确诊断,DSA检查可发现局部有占位性改变的血管走形。
(5)其他:感染性栓塞性动脉瘤破裂、血液病、结节性动脉周围炎、系统性红斑狼疮以及应用抗凝剂等也可引起蛛网膜下腔出血。
蛛网膜下腔出血应该如何治疗
向您详细介绍蛛网膜下腔出血的治疗方法,治疗蛛网膜下腔出血常用的西医疗法和中医疗法。蛛网膜下腔出血应该吃什么药。
常用药品
- 尼莫地平注射液
适用于各种原因的蛛网膜下隙出血后的脑血管痉挛和急性脑血管病恢复期的... [详细]
- 复方芦丁片
主要用于脆性增加的毛细血管出血症,也用于高血压脑病、脑出血、视网膜出血... [详细]
- 独一味软胶囊
- 复方芦丁片
- 尼莫地平片
- 芦丁片
- 尼莫地平注射液
- 尼莫地平分散片
- 盐酸替扎尼定片
- 盐酸替扎尼定片
- 尼莫地平软胶囊
- 氨甲环酸片
(一)治疗
1.内科治疗
(1)一般处理:SAH病人应住院监护治疗,绝对卧床休息4~6周,床头抬高15°~20°,病房保持安静、舒适和暗光。避免引起血压及颅压增高的诱因,如用力排便、咳嗽、喷嚏和情绪激动等,以免发生动脉瘤再破裂。由于高血压患者死亡风险增加,需审慎降压至160/100mmHg,通常卧床休息和轻度镇静即可。头痛时可用止痛药,保持便通可用缓泻剂。适量给予生理盐水保证正常血容量和足够脑灌注,低钠血症常见,可口服NaCl或3%生理盐水静脉滴注,不应限制液体。心电监护防止心律失常,注意营养支持,防止并发症。避免使用损伤血小板功能药物如阿司匹林。
(2)SAH引起颅内压升高,可用20%甘露醇、呋塞米(速尿)和人血白蛋白(白蛋白)等脱水降颅压治疗。颅内高压征象明显有脑疝形成趋势者可行颞下减压术和脑室引流,挽救病人生命。
(3)预防再出血:抗纤溶药可抑制纤溶酶形成,推迟血块溶解和防止再出血。常用氨基己酸(6-氨基己酸) 4~6g加于0.9%生理盐水100ml静脉滴注,15~30min内滴完,再以1g/h剂量静滴12~24h;之后24g/d,持续3~7天,逐渐减量至8g/d,维持2~3周;肾功能障碍者慎用,副作用为深静脉血栓形成。氨甲苯酸(止血芳酸) 0.4g缓慢静注,2次/d,或促凝血药(立止血)、维生素K3等,但止血药应用仍有争论。高血压伴癫痫发作可增加动脉瘤破裂风险,常规推荐预防性应用抗癫痫药如苯妥英(苯妥英钠)300mg/d。
(4)预防性应用钙通道拮抗药(calcium channel antagonist):尼莫地平(nimodipine)40mg口服,4~6次/d,连用21天;尼莫地平(硝苯吡酯) 10mg/d,6h内缓慢静脉滴注,7~14天为一疗程。可减少动脉瘤破裂后迟发性血管痉挛导致缺血合并症。用去氧肾上腺素(苯肾上腺素)或多巴胺使血压升高可治疗血管痉挛,确定动脉瘤手术治疗后用此方法较安全。
(5)放脑脊液疗法:腰穿缓慢放出血性脑脊液,每次10~20ml,每周2次,可减少迟发性血管痉挛、正常颅压脑积水发生率,降低颅内压,应注意诱发脑疝、颅内感染和再出血的风险,严格掌握适应证,并密切观察。
2.手术治疗 是根除病因、防止复发的有效方法。
(1)动脉瘤:破裂动脉瘤最终手术治疗常用动脉瘤颈夹闭术、动脉瘤切除术等。患者意识状态与预后密切相关,临床采用Hunt和Hess分级法对确定手术时机和判定预后有益。完全清醒(Hunt分数I、Ⅱ级)或轻度意识模糊(Ⅲ级)患者手术能改善临床转归,昏睡(Ⅳ级)或昏迷(V级)患者似乎不能获益。手术最适时机选择仍有争议,目前证据支持早期(出血后2天)手术,可缩短再出血风险期,并允许用扩容及升压药治疗血管痉挛。未破裂动脉瘤治疗应个体化,年轻的、有动脉瘤破裂家族史和低手术风险患者适宜手术,无症状性动脉瘤患者适合保守治疗。血管内介入治疗采用超选择导管技术、可脱性球囊或铂金微弹簧圈栓塞术治疗动脉瘤。
(2)动静脉畸形:力争全切除是最合理的,也可采用供血动脉结扎术、血管内介入栓塞或γ刀治疗等。由于动静脉畸形早期再出血风险远低于动脉瘤,手术可择期进行。
(二)预后
SAH预后与病因、年龄、动脉瘤部位及瘤体大小、出血量、血压增高及波动、合并症和及时手术治疗等有关。发病时意识模糊或昏迷、高龄、收缩压高、出血量大、大脑前动脉或椎-基底动脉较大动脉瘤预后差,半数存活者遗留永久脑损害,常见认知障碍。
动脉瘤性SAH病死率高,约20%的患者到达医院前死亡,25%死于首次出血后或合并症,未经外科治疗约20%死于再出血,死亡多在出血后最初数天。90%的颅内AVM破裂患者可以恢复,再出血风险较小。
常用药品
- 尼莫地平注射液
适用于各种原因的蛛网膜下隙出血后的脑血管痉挛和急性脑血管病恢复期的... [详细]
- 复方芦丁片
主要用于脆性增加的毛细血管出血症,也用于高血压脑病、脑出血、视网膜出血... [详细]
- 独一味软胶囊
- 复方芦丁片
- 尼莫地平片
- 芦丁片
- 尼莫地平注射液
- 尼莫地平分散片
- 盐酸替扎尼定片
- 盐酸替扎尼定片
- 尼莫地平软胶囊
- 氨甲环酸片
(一)治疗
1.内科治疗
(1)一般处理:SAH病人应住院监护治疗,绝对卧床休息4~6周,床头抬高15°~20°,病房保持安静、舒适和暗光。避免引起血压及颅压增高的诱因,如用力排便、咳嗽、喷嚏和情绪激动等,以免发生动脉瘤再破裂。由于高血压患者死亡风险增加,需审慎降压至160/100mmHg,通常卧床休息和轻度镇静即可。头痛时可用止痛药,保持便通可用缓泻剂。适量给予生理盐水保证正常血容量和足够脑灌注,低钠血症常见,可口服NaCl或3%生理盐水静脉滴注,不应限制液体。心电监护防止心律失常,注意营养支持,防止并发症。避免使用损伤血小板功能药物如阿司匹林。
(2)SAH引起颅内压升高,可用20%甘露醇、呋塞米(速尿)和人血白蛋白(白蛋白)等脱水降颅压治疗。颅内高压征象明显有脑疝形成趋势者可行颞下减压术和脑室引流,挽救病人生命。
(3)预防再出血:抗纤溶药可抑制纤溶酶形成,推迟血块溶解和防止再出血。常用氨基己酸(6-氨基己酸) 4~6g加于0.9%生理盐水100ml静脉滴注,15~30min内滴完,再以1g/h剂量静滴12~24h;之后24g/d,持续3~7天,逐渐减量至8g/d,维持2~3周;肾功能障碍者慎用,副作用为深静脉血栓形成。氨甲苯酸(止血芳酸) 0.4g缓慢静注,2次/d,或促凝血药(立止血)、维生素K3等,但止血药应用仍有争论。高血压伴癫痫发作可增加动脉瘤破裂风险,常规推荐预防性应用抗癫痫药如苯妥英(苯妥英钠)300mg/d。
(4)预防性应用钙通道拮抗药(calcium channel antagonist):尼莫地平(nimodipine)40mg口服,4~6次/d,连用21天;尼莫地平(硝苯吡酯) 10mg/d,6h内缓慢静脉滴注,7~14天为一疗程。可减少动脉瘤破裂后迟发性血管痉挛导致缺血合并症。用去氧肾上腺素(苯肾上腺素)或多巴胺使血压升高可治疗血管痉挛,确定动脉瘤手术治疗后用此方法较安全。
(5)放脑脊液疗法:腰穿缓慢放出血性脑脊液,每次10~20ml,每周2次,可减少迟发性血管痉挛、正常颅压脑积水发生率,降低颅内压,应注意诱发脑疝、颅内感染和再出血的风险,严格掌握适应证,并密切观察。
2.手术治疗 是根除病因、防止复发的有效方法。
(1)动脉瘤:破裂动脉瘤最终手术治疗常用动脉瘤颈夹闭术、动脉瘤切除术等。患者意识状态与预后密切相关,临床采用Hunt和Hess分级法对确定手术时机和判定预后有益。完全清醒(Hunt分数I、Ⅱ级)或轻度意识模糊(Ⅲ级)患者手术能改善临床转归,昏睡(Ⅳ级)或昏迷(V级)患者似乎不能获益。手术最适时机选择仍有争议,目前证据支持早期(出血后2天)手术,可缩短再出血风险期,并允许用扩容及升压药治疗血管痉挛。未破裂动脉瘤治疗应个体化,年轻的、有动脉瘤破裂家族史和低手术风险患者适宜手术,无症状性动脉瘤患者适合保守治疗。血管内介入治疗采用超选择导管技术、可脱性球囊或铂金微弹簧圈栓塞术治疗动脉瘤。
(2)动静脉畸形:力争全切除是最合理的,也可采用供血动脉结扎术、血管内介入栓塞或γ刀治疗等。由于动静脉畸形早期再出血风险远低于动脉瘤,手术可择期进行。
(二)预后
SAH预后与病因、年龄、动脉瘤部位及瘤体大小、出血量、血压增高及波动、合并症和及时手术治疗等有关。发病时意识模糊或昏迷、高龄、收缩压高、出血量大、大脑前动脉或椎-基底动脉较大动脉瘤预后差,半数存活者遗留永久脑损害,常见认知障碍。
动脉瘤性SAH病死率高,约20%的患者到达医院前死亡,25%死于首次出血后或合并症,未经外科治疗约20%死于再出血,死亡多在出血后最初数天。90%的颅内AVM破裂患者可以恢复,再出血风险较小。
1.中医疗法:
(一)
【辨证】肝肾阴亏,肝阳化火上扰。
【治法】平肝潜阳,滋阴熄风。
【方名】降肝汤。
【组成】羚羊角0.6克(冲服),生石决30克(先煎),生地18克,白芍18克,炙甘草3克,地龙9克,竹茹9克,黄芩9克,丹皮9克,郁金9克,钩藤12克(后下)。
【用法】水煎,灌服或鼻饲,每日1剂。
【出处】张伯臾方。
(二)
【辨证】瘀血内阻,经隧不通。
【治法】活血化瘀,通经止痛。
方名】加减化瘀止痛汤。
【组成】当归10克,赤芍9克,桃仁9克,红花9克,川芎6克,丹参9克,田七末3-6克(冲服),生地12克。
【用法】水煎服,每日1剂,日服2次。
【出处】谢桂权方。
(三)
【辨证】风痰卒中脏腑,蒙蔽清窍。
【治法】化痰祛瘀,疏通经络。
【方名】温胆汤加减。
【组成】制半夏6克,广陈皮6克,茯苓6克,甘草3克,竹茹9克,枳壳6克。
【用法】水煎服,每日1剂,日服2次。
【出处】黄政德方。
蛛网膜下腔出血的分证论治
1.肝风内动,肝阳暴亢
(1)治法:镇肝熄风,平肝潜阳。
(2)方剂:镇肝熄风汤加减。
(3)组成:怀牛膝15g,代赭石15g(先煎),生龙骨20g(先煎),生牡蛎20g(先煎),生龟甲30g(先煎),白芍药16g,玄参10g,天门冬15g,川楝子10g,生麦芽20g,茵陈20g,甘草5g。
(4)备选方:羚角钩藤汤,适用于肝阳暴亢,兼见风火上扰,口噤不开者。山羊角30g(先煎),钩藤6g(后下),白芍药15g,丹皮10g,菊花10g,栀子10g,黄芩10g,牛膝15g,生地黄15g,石决明30g(先煎),生甘草6g。
(5)加减:神志不清,表情淡漠者加石菖蒲、郁金、天竺黄各12g;谵语妄动者加黄连6g,竹叶、莲子心各12g;大便秘结者加大黄6g、玄明粉15g(包煎);抽搐项强甚者加天麻12g,全蝎、僵蚕各8g,白附子10g,羚羊角粉4g;若痰多黄稠者,加胆南星12g、竹沥10ml。
(6)临证事宜:本方重在镇肝潜阳熄风,对本型蛛网膜下腔出血疗效尚好,若头痛甚剧,胁痛,口苦面红,便秘溲赤,苔黄,脉弦数,肝火偏旺者,宜加用清肝泄火之品如龙胆草、郁金等对症治疗。
1.中医疗法:
(一)
【辨证】肝肾阴亏,肝阳化火上扰。
【治法】平肝潜阳,滋阴熄风。
【方名】降肝汤。
【组成】羚羊角0.6克(冲服),生石决30克(先煎),生地18克,白芍18克,炙甘草3克,地龙9克,竹茹9克,黄芩9克,丹皮9克,郁金9克,钩藤12克(后下)。
【用法】水煎,灌服或鼻饲,每日1剂。
【出处】张伯臾方。
(二)
【辨证】瘀血内阻,经隧不通。
【治法】活血化瘀,通经止痛。
方名】加减化瘀止痛汤。
【组成】当归10克,赤芍9克,桃仁9克,红花9克,川芎6克,丹参9克,田七末3-6克(冲服),生地12克。
【用法】水煎服,每日1剂,日服2次。
【出处】谢桂权方。
(三)
【辨证】风痰卒中脏腑,蒙蔽清窍。
【治法】化痰祛瘀,疏通经络。
【方名】温胆汤加减。
【组成】制半夏6克,广陈皮6克,茯苓6克,甘草3克,竹茹9克,枳壳6克。
【用法】水煎服,每日1剂,日服2次。
【出处】黄政德方。
蛛网膜下腔出血的分证论治
1.肝风内动,肝阳暴亢
(1)治法:镇肝熄风,平肝潜阳。
(2)方剂:镇肝熄风汤加减。
(3)组成:怀牛膝15g,代赭石15g(先煎),生龙骨20g(先煎),生牡蛎20g(先煎),生龟甲30g(先煎),白芍药16g,玄参10g,天门冬15g,川楝子10g,生麦芽20g,茵陈20g,甘草5g。
(4)备选方:羚角钩藤汤,适用于肝阳暴亢,兼见风火上扰,口噤不开者。山羊角30g(先煎),钩藤6g(后下),白芍药15g,丹皮10g,菊花10g,栀子10g,黄芩10g,牛膝15g,生地黄15g,石决明30g(先煎),生甘草6g。
(5)加减:神志不清,表情淡漠者加石菖蒲、郁金、天竺黄各12g;谵语妄动者加黄连6g,竹叶、莲子心各12g;大便秘结者加大黄6g、玄明粉15g(包煎);抽搐项强甚者加天麻12g,全蝎、僵蚕各8g,白附子10g,羚羊角粉4g;若痰多黄稠者,加胆南星12g、竹沥10ml。
(6)临证事宜:本方重在镇肝潜阳熄风,对本型蛛网膜下腔出血疗效尚好,若头痛甚剧,胁痛,口苦面红,便秘溲赤,苔黄,脉弦数,肝火偏旺者,宜加用清肝泄火之品如龙胆草、郁金等对症治疗。
2.肝肾不足,虚火上扰
(1)治法:滋补肝肾,清热降火。
(2)方剂:知柏地黄丸加减。
(3)组成:知母lOg,黄柏10g,山药30g,山茱萸15g,牡丹皮10g,熟地黄20g,茯苓15g,泽泻15g。
(4)备选方:杞菊地黄汤,适用于肝。肾阴虚,眼干目涩、头部空痛者。熟地黄20g,枸杞子15g,菊花15g,山茱萸15g,山药30g,丹皮10g,泽泻20g,蒲黄10g,茯苓20g,旱莲草10g,女贞子15g。
(5)加减:目干眼涩,虚热较甚者,加大知母、黄柏用量,并加用枸杞子10g,菊花15g,白薇、银柴胡、青蒿各15g;颈项强直,四肢抽搐者,加全蝎、蜈蚣各6g,僵蚕8g;心烦失眠,夜寐不安者加柏子仁、炒枣仁各15g,黄连4g,阿胶12g;血虚兼见血瘀、舌质黯或瘀点者,加阿胶、当归、桃仁各12g,川芎20g。
(6)临证事宜:本方重在滋阴清热降火,若头痛面白而恶寒,四肢不温,舌淡,脉沉细而缓,阴损及阳,治宜温肾健脾,回阳救逆,养血填精。
3.痰浊内阻,清窍蒙蔽
(1)治法:涤痰通窍,化浊开闭。
(2)方剂:涤痰汤加减。
(3)组成:制南星lOg,制半夏10g,炒枳实15g,茯苓20g,橘红10g,石菖蒲10g,人参10g,竹茹10g,甘草5g。
(4)备选方:温胆汤,适用于痰热内闭清窍者。法半夏10g,陈皮10g,胆南星10g,枳实15g,黄芩10g,生大黄6g(后下),钩藤10g(后下),茯苓20g,石菖蒲10g,生甘草5g。
(5)加减:痰热明显者加黄芩12g、生大黄6g、天竺黄12g;纳谷不香者加炒白术10g、鸡内金4g、炒谷麦芽各15g;痰多清稀者加苍术、厚朴各12g;颈项强直者,加全蝎、蜈蚣各6g,石决明30g(先煎),僵蚕8g。
(6)临证事宜:痰浊蕴久化热,症见口苦,大便干结,苔黄腻,脉滑数,治宜清热燥湿,化痰行气。
4.肝郁气滞,瘀血阻络
(1)治法:疏肝解郁,行气活血化瘀。
(2)方剂:血府逐瘀汤加减。
(3)组成:柴胡lOg,枳壳15g,桔梗10g,牛膝15g,当归15g,川芎10g,赤芍10g,生地黄15g,桃仁10g,红花15g,甘草5g。
(4)备选方:通窍活血汤,适用于瘀血阻窍,头痛部位固定如针刺者,当归15g,怀牛膝15g,川芎10g,赤芍1
蛛网膜下腔出血吃什么好
向您详细介绍蛛网膜下腔出血饮食保健,蛛网膜下腔出血的食疗方。得了蛛网膜下腔出血吃什么好,同时又不能吃什么呢?
1.蛛网膜下腔出血食疗方:
1、香菇豆腐汤:香菇60克,豆腐100克,紫菜30克,盐、香油少许,加水适量,用文火煎煮成汤,每日1次服用,可连用15天- 30天。
2、双耳海参汤:黑木耳、银耳各20克,海参30克(鲜品)加蜂蜜适量熬成汤服用,每日1次,连用30天。
3、黑豆元胡粥:黑豆、小米各100克,元胡粉15克,苏木、鸡血藤、生黄芪各1 0克。黑豆加水适量煮成半熟,再将苏木、鸡血藤、生黄芪煮后滤出药液,与小米、元胡粉加水同煮成粥后,加入适量
蛛网膜下腔出血吃什么好
向您详细介绍蛛网膜下腔出血的病理病因,蛛网膜下腔出血主要是由什么原因引起的。
(一)发病原因
引起蛛网膜下腔出血的最常见原因是先天性颅内动脉瘤和血管畸形,其次为高血压脑动脉粥样硬化、颅内肿瘤、血液病、各种感染引起的动脉炎、肿瘤破坏血管、颅底异常血管网症(moyamoya病)。还有一些原因不明的蛛网膜下腔出血,是指经全脑血管造影及脑CT扫描未找到原因者。
病因中粟粒样动脉瘤约占75%,年发病率6/10万;动静脉畸形约占10%,多见于青年人,90%以上位于幕上;脑底异常血管网(Moyamoya病)占儿童SAH的20%;原因不明占10%。一般认为30岁以前发病者,多为血管畸形,40岁以后发病者多为颅内动脉瘤破裂,50岁以上发病者,则往往因高血压脑动脉硬化及脑肿瘤引起。
另外,吸烟、饮酒与蛛网膜下腔出血密切相关。国外动物实验证明形成动脉瘤有3个因素:Willis环压力、高血压和血管脆性增加。吸烟能影响这3个因素,引起血压急性升高,在3h后逐渐回落,与临床所见的蛛网膜下腔出血发生几率在吸烟后3h内最高相吻合。吸烟还可激活肺巨噬细胞活性,促进水解酶释放,可引起肺损害与脑血管脆性增加,从而增加蛛网膜下腔出血的危险率。大量饮酒可能引起高血压或其他包括血凝机制和脑血流之改变,可加速促发蛛网膜下腔出血。有人报道,过量饮酒者蛛网膜下腔出血的发生率是非饮酒者的2倍。
(二)发病机制
粟粒样动脉瘤可能与遗传和先天性发育缺陷有关,尸解发现约80%的患者Willis环动脉壁弹力层及中膜发育异常或受损,随年龄增长由于动脉壁粥样硬化、高血压和血涡流冲击等因素影响,动脉壁弹性减弱,管壁薄弱处逐渐向外膨胀突出,形成囊状动脉瘤;动脉瘤体积越大越易破裂,直径<3mm较少出血,5~7mm极易出血。
脑动静脉畸形是胚胎期发育异常形成畸形血管团,血管壁薄弱处于破裂临界状态,激动或不明显诱因可导致破裂。动脉炎或颅内炎症引起血管壁病变,肿瘤或转移癌直接侵蚀血管均可导致出血。
1.主要病变部位 85%~90%的先天性粟粒样动脉瘤位于前循环,是血管壁分叉处发育薄弱形成,多为单发;约20%的病例为多发,多位于两侧相同血管(镜相动脉瘤)。
动脉瘤破裂频率为:颈内动脉及分叉部40%,大脑前动脉及前交通动脉30%,大脑中动脉及分支20%,椎-基底动脉及分支10%,后循环常见于基底动脉尖和小脑后下动脉。
破裂动脉瘤多不规则或呈多囊状,常在动脉瘤穹窿处破裂。其他先天性异常如多囊肾病和主动脉缩窄常伴发粟粒状动脉瘤,感染性心内膜炎播散至脑动脉可引起“真菌性”(mycotic)动脉瘤。占破裂动脉瘤的2%~3%,多见于脑动脉远端。动静脉畸形由异常血管交通形成,动脉血不经过毛细血管床直接进入静脉系统,常见于大脑中动脉分布区。
2.大体与镜下病理变化 血液进入蛛网膜下腔,使脑脊液染血,部分或全脑表面呈紫红色,红细胞沉积于脑池、脑沟,因而染色更深。出血量大,脑表面可有薄层血凝块覆盖,脑底部、脑池、脑沟等处可见血凝块及血液积聚,以脑底部最明显,甚至将血管及神经淹没。随着病程的延长,红细胞溶解释放含铁血黄素,使脑膜及脑皮质呈现不同程度的铁锈色,同时也有轻重不一的局部粘连。
镜下早期为细胞反应及吞噬现象,逐渐出现成纤维细胞进入血块,最后形成一层闭塞蛛网膜下腔的瘢痕。
显微镜检查,出血后1~4h即可出现脑膜反应,软脑膜血管周围可见少量多形核白细胞集结,4~6h多形核细胞反应即较强,16~32h即存在大量的白细胞及淋巴细胞,并可见到白细胞的破坏,一部分游离于蛛网膜下腔,一部分在吞噬细胞及白细胞的胞质内。出血后3天,各型炎性细胞都参与反应,多形核白细胞反应达顶峰后,淋巴细胞及吞噬细胞即迅速增加。在吞噬细胞内可见到完整的红细胞、含铁血黄素颗粒及变性的白细胞。7天后多形核白细胞消失,淋巴细胞浸润,吞噬细胞吞噬活跃。虽然还有一些完整的红细胞,但多为血红素的分解产物。10天后,有不同程度的纤维组织逐渐浸入血块内,形成一层瘢痕组织。
蛛网膜下腔出血应该做哪些检查?
向您详细介蛛网膜下腔出血应该做哪些检查,常用的蛛网膜下腔出血检查项目有哪些,蛛网膜下腔出血应该如何鉴别诊断?
常用检查
- 脑膜刺激征
脑膜刺激征是脑膜病变时脊髓膜受到刺激并影响到脊神经根,当牵拉刺激时... [详细]
- 血常规
血常规是最一般,最基本的血液检验。血液由液体和有形细胞两大部分组成... [详细]
- 尿常规
- 血糖
- 脑脊液检查-化学...
- 脑脊液细胞分类计...
- 颅脑CT检查
- 核磁共振成像(MRI...
- 脑脊液压力

实验室检查
1.血常规、尿常规和血糖 重症脑蛛网膜下腔出血患者在急性期血常规检查可见白细胞增高,可有尿糖与尿蛋白阳性。急性期血糖增高是由应激反应引起的。血糖升高不仅直接反映机体代谢状态,而且反映病情的严重程度。血糖越高,应激性溃疡、代谢性酸中毒、氮质血症等并发症的发生率越高,预后越差。
2.脑脊液 均匀一致血性的脑脊液是诊断蛛网膜下腔出血的主要指标,注意起病后立即腰穿,由于血液还没有进入蛛网膜下腔,脑脊液往往是阴性。等到患者有明显脑膜刺激征后,或患者几小时后腰穿阳性率会明显提高,脑脊液表现为均匀一致血性、无凝块。
绝大多数蛛网膜下腔出血脑脊液压力升高,多为200~300mmH2O,个别患者脑脊液压力低,可能是血块阻塞了蛛网膜下腔之故。
脑脊液中蛋白质含量增加,可高至1.0g/dl。出血后8~10天蛋白质增加最多,以后逐渐减少。脑脊液中糖及氯化物含量大都在正常范围内。
蛛网膜下腔出血后脑脊液中的白细胞在不同时期有3个特征性演变过程。①6~72h脑脊液中以中性粒细胞为主的血细胞反应,72h后明显减少,1周后逐渐消失。②3~7天出现淋巴-单核吞噬细胞反应,免疫激活细胞明显增高,并出现红细胞吞噬细胞。③3~7天脑脊液中开始出现含铁血黄素吞噬细胞。14~28天逐渐达到高峰。
影像学检查
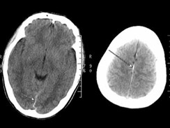
脑CT扫描或MRI检查:临床疑诊SAH首选CT检查,安全、敏感,并可早期诊断。出血当天敏感性高,可检出90%以上的SAH,显示大脑外侧裂池、前纵裂池、鞍上池、桥小脑角池、环池和后纵裂池高密度出血征象,并可确定脑内出血或脑室出血,伴脑积水或脑梗死,可对病情进行动态观察。CT增强可发现大多数动静脉畸形和大的动脉瘤。MRI可检出脑干小动静脉畸形,但须注意SAH急性期MRI检查可能诱发再出血。CT可显示约15%的患者仅中脑环池少量出血,称非动脉瘤性SAH(non aneurysmal SAH,nA—SAH)。
有下列情况之一者可进行脑CT扫描或MRI检查,以提示或排除本病:①临床表现疑有颅内出血者。②有部分性癫痫发作或全面性癫痫发作病史者。③有慢性发作性或进行性神经功能障碍病史者,如偏身运动或感觉障碍。④有慢性头痛病史,其他原因不好解释者。
1.高血压性脑出血 也可见反应迟钝和血性脑脊液,但有明显局灶性体征如偏瘫、失语等。原发性脑室出血与重症SAH患者鉴别见表1。小脑出血、尾状核头出血等,因无明显的肢体瘫痪也易与SAH混淆,CT和DSA检查可以鉴别。
2.颅内感染 结核性、真菌性、细菌性和病毒性脑膜炎等可有头痛、呕吐及脑膜刺激征,但先有发热,CSF检查提示为感染,并需与SAH后发生化学性脑膜炎鉴别。SAH脑脊液黄变、淋巴细胞增多,应注意与结核性脑膜炎区别,但后者CSF糖、氯降低,头部CT正常。
3.约1.5%的脑肿瘤可发生瘤卒中,形成瘤内或瘤旁血肿并合并SAH;癌瘤颅内转移、脑膜癌症或CNS白血病也可见血性CSF,根据详细病史、CSF检出瘤细胞和头部CT可以鉴别。
蛛网膜下腔出血可能并发哪些疾病?
向您详细介绍蛛网膜下腔出血有哪些并发病症,蛛网膜下腔出血还会引起哪些疾病?
1.急性梗阻性脑积水 是蛛网膜下腔出血的一个重要及严重的并发症,是指蛛网膜下腔出血后数小时至7天以内的急性或亚急性脑室扩大所致的脑积水。脑室系统充满血液是急性脑室扩张的先决条件,使脑脊液循环通路受阻而导致颅内压急骤升高,是蛛网膜下腔出血后死亡的主要原因之一。发生急性梗阻性脑积水。提示预后不良。如在早期发现双侧侧脑室扩张、腰穿压力可以不高,提示急性梗阻性脑积水,应立即行脑室引流,有时可转危为安。
急性脑积水除了剧烈头痛、频繁呕吐、脑膜刺激征外,常有意识障碍加重等颅内高压表现。尤其在蛛网膜下腔出血后3天内逐渐出现昏迷、瞳孔缩小、对光反射减弱或消失等病情恶化。
2.正常颅压脑积水(normal pressure hydroencephalus,NPH) 是指患蛛网膜下腔出血后几周或几年后出现脑室扩大,是因多种原因所致的临床综合征,又称隐匿性脑积水、低压力性脑积水、交通性脑积水或脑积水性痴呆。
正常颅压脑积水的发病机制是凡能在脑室系统以外,即在脑基底诸池或大脑凸面处阻碍脑脊液正常流向上矢状窦者,均可引起正常颅压脑积水。正常颅压脑积水的三大主征为精神障碍、步态异常和尿失禁。还可出现性格改变、癫痫、锥体外系症状、强握反射、吸吮反射等。晚期双下肢发生中枢性瘫痪。
蛛网膜下腔出血应该如何预防?又应该如何护理?
向您详细介绍蛛网膜下腔出血应该如何预防,蛛网膜下腔出血应该如何护理,蛛网膜下腔出血常见的预防措施和护理办法有哪些。
1.急救
蛛网膜下腔出血是常见的脑血管病之一,常见的病因是颅内动脉瘤破裂和血管畸形。一旦发生蛛网膜下腔出血应及时在当地有条件的医院进行治疗或转送医院抢救治疗,转送病人时需注意以下几点:
1.尽量让病人保持头高侧侧卧位,避免舌根后坠阻碍通气;
2.及时清理患者口中的呕吐物,以免误吸入气道;
3.尽量避免长途转送,选就近有条件的医疗单位治疗;
4.转运前应给予脱水、降压等治疗;
5.运送过程中尽量避免震动;
6.转送病人时应有医务人员护送并随时观察病情变化;
7.有随时进行抢救的基本设施。
1.病因治疗目前最为有效的治疗方法是行急诊脑血管造影查明出血灶,开颅结扎出血血管,清除积血以及寻找出血原因,可进行手术切除术,以防止再复发。
2.脑积水的防治 蛛网膜下腔出血急性期大量积血堵塞了脑池,并影响脑脊液回收入大脑镰静脉窦,因而引起急性脑积水导致严重颅内压增高,以后可逐渐转为慢性脑积水。另外,蛛网膜下腔积血过多,血液刺激炎性物质分泌,造成纤维素粘连及蛛网膜颗粒被闭塞,容易形成正常压力脑积水。因此,如何把蛛网膜下腔中的血液尽快清除,是十分重要的问题。
采用置换脑脊液,能减轻血液对脑膜的刺激,减少了致脑血管痉挛的因素,注入生理盐水使颅压保持相对稳定,又能稀释血性脑脊液,预防出血后的蛛网膜粘连。本疗法不失为一种安全而又有效的治疗新措施。但尽管有诸多优点,也不能说置换疗法就没有危险性,操作时应注意严格按规范操作,注意无菌观念,放液速度要慢。置换不要过频,应隔天或隔2天以上进行1次,而且一旦腰穿发现脑脊液已变清,则不必再置换,要据病情而定,不可千篇一律。对于诊断不明或疑有脑疝形成可能者,不宜进行。
脑脊液置换术方法:①选择发病48h后无呼吸困难及脑疝患者作为置换对象。②术前半小时先给甘露醇及速尿降颅压。③腰穿成功后先测初压,随后缓慢放出脑脊液5~10ml,再椎管内注入盐水5~10ml,重复上法2~3次,直至置换总量达20~30ml为止。最后一次不再注入盐水而注入地塞米松5mg。隔天1次,一般置换3~5次,最多7次。
蛛网膜下腔出血是常见的脑血管病之一,常见的病因是颅内动脉瘤破裂和血管畸形。一旦发生蛛网膜下腔出血应及时在当地有条件的医院进行治疗或转送医院抢救治疗,转送病人时需注意以下几点:
1.尽量让病人保持头高侧侧卧位,避免舌根后坠阻碍通气;
2.及时清理患者口中的呕吐物,以免误吸入气道;
3.尽量避免长途转送,选就近有条件的医疗单位治疗;
4.转运前应给予脱水、降压等治疗;
5.运送过程中尽量避免震动;
6.转送病人时应有医务人员护送并随时观察病情变化;
7.有随时进行抢救的基本设施。
不论是手术治疗或是内科治疗后,一定要预防再出血的发生。主要措施是避免重体力劳动、情绪激动、控制血压,另外对可引起出血其他高危因素,如糖尿病、心脏病、肥胖、高血脂、吸烟、过度饮酒等疾病和不良生活习惯,应及时治疗,养成良好的生活习惯,适当调整和控制饮食,保持积极愉快乐观的生活态度,对预防蛛网膜下腔出血的发生都有一定的价值。
展开全部
(温馨提示:以上资料仅供参考,具体情况请向医生详细咨询)
1.病因治疗目前最为有效的治疗方法是行急诊脑血管造影查明出血灶,开颅结扎出血血管,清除积血以及寻找出血原因,可进行手术切除术,以防止再复发。
2.脑积水的防治 蛛网膜下腔出血急性期大量积血堵塞了脑池,并影响脑脊液回收入大脑镰静脉窦,因而引起急性脑积水导致严重颅内压增高,以后可逐渐转为慢性脑积水。另外,蛛网膜下腔积血过多,血液刺激炎性物质分泌,造成纤维素粘连及蛛网膜颗粒被闭塞,容易形成正常压力脑积水。因此,如何把蛛网膜下腔中的血液尽快清除,是十分重要的问题。
采用置换脑脊液,能减轻血液对脑膜的刺激,减少了致脑血管痉挛的因素,注入生理盐水使颅压保持相对稳定,又能稀释血性脑脊液,预防出血后的蛛网膜粘连。本疗法不失为一种安全而又有效的治疗新措施。但尽管有诸多优点,也不能说置换疗法就没有危险性,操作时应注意严格按规范操作,注意无菌观念,放液速度要慢。置换不要过频,应隔天或隔2天以上进行1次,而且一旦腰穿发现脑脊液已变清,则不必再置换,要据病情而定,不可千篇一律。对于诊断不明或疑有脑疝形成可能者,不宜进行。
脑脊液置换术方法:①选择发病48h后无呼吸困难及脑疝患者作为置换对象。②术前半小时先给甘露醇及速尿降颅压。③腰穿成功后先测初压,随后缓慢放出脑脊液5~10ml,再椎管内注入盐水5~10ml,重复上法2~3次,直至置换总量达20~30ml为止。最后一次不再注入盐水而注入地塞米松5mg。隔天1次,一般置换3~5次,最多7次。
蛛网膜下腔出血是常见的脑血管病之一,常见的病因是颅内动脉瘤破裂和血管畸形。一旦发生蛛网膜下腔出血应及时在当地有条件的医院进行治疗或转送医院抢救治疗,转送病人时需注意以下几点:
1.尽量让病人保持头高侧侧卧位,避免舌根后坠阻碍通气;
2.及时清理患者口中的呕吐物,以免误吸入气道;
3.尽量避免长途转送,选就近有条件的医疗单位治疗;
4.转运前应给予脱水、降压等治疗;
5.运送过程中尽量避免震动;
6.转送病人时应有医务人员护送并随时观察病情变化;
7.有随时进行抢救的基本设施。
不论是手术治疗或是内科治疗后,一定要预防再出血的发生。主要措施是避免重体力劳动、情绪激动、控制血压,另外对可引起出血其他高危因素,如糖尿病、心脏病、肥胖、高血脂、吸烟、过度饮酒等疾病和不良生活习惯,应及时治疗,养成良好的生活习惯,适当调整和控制饮食,保持积极愉快乐观的生活态度,对预防蛛网膜下腔出血的发生都有一定的价值。
展开全部
(温馨提示:以上资料仅供参考,具体情况请向医生详细咨询)



